Zirkonyum ve Seramik Kaplamalar

Zirkonyum ve Seramik Kaplamalar

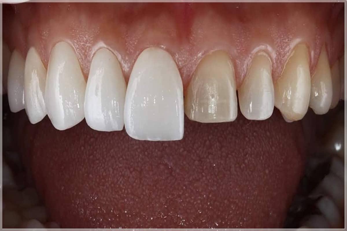
Zirkonyum ve Seramik Kaplamalar – Sağlam ve Estetik Diş Çözümleri

Gülüş, kişinin sosyal yaşamında en çok dikkat çeken detaylardan biridir. Ancak kırık, çürük, renk değişimi ya da şekil bozukluğu olan dişler hem estetik görünümü hem de özgüveni olumsuz etkileyebilir. Günümüzde bu sorunların çözümünde en çok tercih edilen yöntemlerden biri zirkonyum ve seramik kaplamalardır.

Kulvar Diş Kliniği olarak modern diş hekimliği teknolojilerini kullanarak hastalarımıza hem dayanıklı hem de estetik kaplama çözümleri sunuyoruz.


Zirkonyum ve Seramik Kaplama Nedir?

  • Zirkonyum Kaplama: Zirkonyum oksit altyapı üzerine porselen işlenerek hazırlanır. Dayanıklılığı yüksek olduğu için özellikle arka dişlerde tercih edilir.

  • Tam Seramik Kaplama: Tamamen porselenden üretilir, ışık geçirgenliği sayesinde doğal diş görünümü sağlar. Genellikle ön dişlerde kullanılır.

Her iki kaplama türü de estetik diş hekimliğinin en önemli uygulamaları arasında yer alır.


Zirkonyum ve Seramik Kaplamaların Avantajları

  • Doğal Görünüm: Seramik kaplamalar ışık geçirgenliği sayesinde gerçek dişten ayırt edilemez.

  • Dayanıklılık: Zirkonyum kaplamalar yüksek çiğneme kuvvetlerine dayanıklıdır.

  • Alerji Dostu: Metal içermez, biyouyumludur.

  • Uzun Ömürlü Kullanım: Düzenli bakım ile 10-15 yıl kullanılabilir.

  • Estetik Çözümler: Renk uyumu ile gülüş estetiğini güçlendirir.

  • Çürüme Riskini Azaltır: Dişi tamamen kapladığı için çürük ilerlemesini engeller.


Hangi Durumlarda Zirkonyum ve Seramik Kaplama Yapılır?

  • İleri derecede renklenme veya lekelenme olan dişlerde

  • Kırık veya çatlak dişlerde

  • Çapraşık veya şekil bozukluğu olan dişlerde

  • Daha önce yapılmış eski metal destekli kaplamaların değiştirilmesinde

  • İmplant üstü protezlerde

  • Ön diş estetiğini geliştirmek isteyen hastalarda


Zirkonyum Kaplama ile Seramik Kaplama Arasındaki Farklar

ÖzellikZirkonyum Kaplama
Seramik Kaplama
MalzemeZirkonyum oksit + porselen
Tam porselen
Dayanıklılık
Yüksek (arka dişlerde ideal)
Orta (ön dişlerde ideal)
DoğallıkEn doğal görünümEn doğal görünüm
Kullanım Alanı
Arka dişler, implant üstü
Ön dişler, gülüş estetiği
Ömür
10-15 yıl
8-12 yıl

Zirkonyum ve Seramik Kaplama Uygulama Süreci

  1. Muayene ve Planlama: Hastanın ihtiyaçları belirlenir, diş ölçüsü alınır.

  2. Diş Hazırlığı: Gerekli durumlarda diş yüzeyinde minimal aşındırma yapılır.

  3. Geçici Kaplama: Laboratuvar sürecinde estetik kaygı olmaması için geçici kaplama takılır.

  4. Kaplama Üretimi: Kişiye özel zirkonyum veya seramik kaplama hazırlanır.

  5. Prova ve Yapıştırma: Hazırlanan kaplama dişe sabitlenir.

  6. Son Kontrol: Hem estetik hem de fonksiyon açısından değerlendirilir.


Kaplama Sonrası Dikkat Edilmesi Gerekenler

  • Düzenli fırçalama ve diş ipi kullanımı

  • Sert yiyecekleri kaplamayla kırmaktan kaçınmak

  • Yıllık diş hekimi kontrollerini aksatmamak

  • Gerekirse gece plağı kullanmak (diş sıkma alışkanlığı olanlarda)


Zirkonyum ve Seramik Kaplama Ne Kadar Sürer?

Genellikle 2-3 seansta tamamlanır. Ortalama 7-10 gün içinde hastalar kalıcı kaplamalarına kavuşur.


Zirkonyum ve Seramik Kaplama Fiyatları

Fiyatlar;

  • Kullanılan malzeme,

  • Kaç dişe uygulanacağı,

  • Kaplamanın türü (zirkonyum / tam seramik),

  • Hekimin uzmanlığına göre değişiklik gösterir.

Kulvar Diş Kliniği olarak şeffaf fiyat politikasıyla en uygun çözümleri sunuyoruz.


Neden Kulvar Diş Kliniği’nde Zirkonyum ve Seramik Kaplama?

  • Dijital ölçüm ve modern laboratuvar desteği

  • Uzman estetik diş hekimleri

  • Kişiye özel tedavi planı

  • Doğal ve uzun ömürlü sonuçlar

  • Hasta memnuniyetine odaklı hizmet


Zirkonyum ve seramik kaplamalar, hem estetik hem de fonksiyonel açıdan dişlerinizi korumanın en modern yöntemlerindendir. Doğal görünümleri, dayanıklılıkları ve biyouyumlulukları sayesinde uzun yıllar güvenle kullanılabilirler.

Kulvar Diş Kliniği olarak, kişiye özel zirkonyum ve seramik kaplama tedavilerimizle hastalarımıza hem estetik hem de sağlıklı gülüşler kazandırıyoruz.

Unutmayın, sağlam ve doğal görünümlü dişler hayatınıza değer katar.